Discover Our Group:

COUNTRIES

Professional Diagnostics

Literature

ANA HEp2 & Abs anti DFS 70

Introducing ANA HEp2 DFS70 KO, a new tool to interpret ANA HEp-2 and distinguish DFS70 positive samples

Testing for ANA by IFA can yield positive results caused by many different autoantibodies, including anti-DFS70, which has no known association with systemic autoimmune or rheumatic disease.

Anti-DFS70 antibodies are responsible for a certain percentage of positive HEp-2 results in routine testing, and may contribute to unnecessary anxiety on patients and doctor as well as added cost to the healthcare system. The DFS pattern (Dense Fine Speckled) may be confused with other patterns associated primarily with systemic lupus erythematosus, Sjögren's syndrome and mixed connective tissue disease"

The detection of anti-DFS70 antibodies can eliminate unnecessary reflex testing, to exclude that the ANA HEp2 positive result is not related to CTD, or RA.

Background: Clinical and Diagnostic laboratories often encounter sera that produce a dense fine speckled pattern that stains the nucleoplasm of interphase cells and chromatin of cells undergoing mitosis.

Significance: Most of the literature indicates that this pattern is widely prevalent and associated with an antigen called LEDGF/PSIP1/DFS70.

When should a DFS70 confirmatory test be used?

Since a positive ANA test is an important component in the triage and diagnosis of patients with possible SARD, ANA HEp-2 testing outside an appropriate clinical setting may yield a sizable portion of ANA positive apparently healthy individuals, a false positive indeed.The implications of an incorrect recognition of DFS70 antibodies also include the costs (financial and otherwise) of downstream testing and patient care to follow up on any false-positive ANA results.

Therefore, samples with an apparent DFS staining pattern identified by IFA, should be tested for anti-DFS70 antibodies by a specific confirmatory assay.

Clinicians should not overestimate positive ANA results in patients with isolated anti-DFS70 antibodies and focus on the patients' clinical symptoms.

The Zenit Immco ANA HEp2 DFS70 KO solution

With the new substrate Zenit Immco ANA HEp2 DFS70 KO, the user can detect the presence of anti-DFS70 antibodies, and use in addition to standard HEp-2 ANA patterns with no impact on daily routine.

This new, enhanced substrate allows:

  1. To detect ANA and DFS70 Abs at a glance
  2. To detect ANA and DFS70 Abs in a single step
  3. No additional DFS70 Ab confirmatory test
  4. Time saving; screening and DFS70 detection in the same step
  5. Cost saving; screening and DFS70 detection in the same step

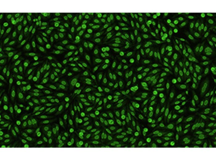
IMMCO DFS70 Knock Out HEp-2 cells

Approx. 90% of HEp-2 on each well of the substrate are cells KO (Knocked Out)

for psip1 gene which produces the antigen LEDGF responsible for DFS70 pattern. The other 10% of the cells are conventional HEp-2 cells which express high level of the antigen.

- This HEp-2 presentation aids in easier identification and distinction of DFS70 pattern from other similar patterns (fine speckled or homogeneous).

- Aids in unmasking the DFS70 (due to LEDGF-psip1) pattern and revealing any underlying ANA reaction that may be associated with SARD if a mixed pattern is present

Does not compromise the ability of the HEp-2 substrate in detecting other ANAs

HEp2 Substrate with conventional and knocked out cells for DFS70/PSIP1 gene

Engineered HEp2: psip1 gene has been knocked out of Hep2 cells and mixed with wild type cells to produce a new generation of substrate.
This new substrate preserves the traditional autoantibody reactivity. When reacted with a sera positive for DFS70 specific serum, KO cells are less intense compared to wild type which aids in the analysis of the sample. This improved substrate also has the potential to unmask the underlying ANA patterns that were previously masked by a high titer DFS70 reaction.

The new product range:

  • 48135 ANA HEP-2 DFS70 KO SUBSTRATE (12 WELLS) IMMCO #2298
  • 48136 ANA HEP-2 DFS70 KO SUBSTRATE KIT (60 TESTS) IMMCO #1108
  • 48137 ANA HEP-2 DFS70 KO SUBSTRATE KIT (120 TESTS) IMMCO #1108-120
  • 48193 ANA HEp2 DFS70 KO SUBSTRATE KIT (240 TESTS) IMMCO #1108-240
  • 48138 DFS70 POSITIVE CONTROL IMMCO #2284

Scientific excellence and international commitment

A. Menarini Diagnostics’ competitive strengths include its diverse technological expertise and commitment to scientific innovation.

We provide two publications in the field.

Autoimmunity Highlights, a peer-reviewed Englishlanguage journal published by pringer, was launched in 2010 with an unconditional grant from Menarini.

Autoimmunity Close Up builds on this by bringing autoimmunity-related news into the laboratory, and serving as a bridge between the clinic, the laboratory and specialists in the complex world of autoimmunity diagnosis.

It differs from Autoimmunity Highlights in being a house organ that includes also marketing and advertising material, but maintains a strong scientific focus on autoimmune disease testing. Moreover, Autoimmunity Close Up supports physicians by disseminating the latest scientific information on the autoimmune diseases themselves.

Throughout more than 35 years, A. Menarini Diagnostics has expanded beyond immediate geographical barriers to open up new frontiers in the world of diagnostics. We have always put our collective knowledge and expertise at the service of healthcare professionals and patients, seeking global dissemination of the benefits resulting from our decades of effort and experience. Autoimmunity has been a strategic area since the late 1990’s.

Our scientific support includes literature support, organization of international symposia, attendance at important events, and opinion leader networking.

MAIN CONGRESS ACTIVITIES:

  • More than 10 mono-sponsored symposia from 2002
  • Regular attendance at international congresses on autoimmunity, with workshops and other activities
  • Local presence at most European congresses on autoimmunity
  • Hundreds of posters and abstracts presented at congresses

ISBN 978 88 6756121 6


Editor 
Massimo Donnini
A. Menarini Diagnostics, Via lungo l’Ema, 7 - Grassina (FI), Italy

Contributors
Issue #1
Nicola Bizzaro
Laboratorio di Patologia Clinica, Ospedale San Antonio - Via Morgagni 18 - Tolmezzo (UD), Italy

Aims & Scope

Autoimmunity Close Up is the new A. Menarini Diagnostics publication in the field of autoimmunity. The magazine establishes an interdisciplinary forum connecting experts involved in all aspects of the complex world of autoimmunity diagnosis. Autoimmunity Close Up provides our customers and colleagues with important product information and updates, insights into issues of general interest in autoimmunity and the latest findings in autoimmune diseases. The magazine encompasses a wide range of topics including connective tissue diseases, rheumatoid arthritis, antiphospholipid syndrome, celiac disease, IBD, vasculitis, autoimmune thyroid and liver diseases, as well as POCT, ITC & health economics. Each issue features reviews, editorials, and interviews with leading scientists who actively participate in building the content. If you have any questions or require further information about Autoimmunity Close Up, please contact your local A. Menarini Diagnostics
Affiliate or Distributor.
Publisher
Springer Healthcare Italy
Via PC Decembrio, 28
20137 Milan (Italy)
www.springerhealthcare.it

Editorial Staff
Norberto Maderna
Elena Bernacchi
Sara di Nunzio
Claudio Oliveri
Project Manager
Loredana Biscardi

© 2014 Springer Healthcare Italia Srl

Printed in October by Lazzati Industria Grafica Srl (Casorate Sempione – Varese - Italy)
Publication not for resale. Intended for specialists only. Registered in Milan – Registration n. 313 - 1/10/2014

All rights are reserved throughout the world and in all languages. No part of this publication may be reproduced, transmitted or stored in any form or by any means either mechanical or electronic, including photocopying, recording, or through an information storage and retrieval system, without the written permission of the copyright holder. The publisher has made every effort to trace the copyright holders for the material used within. Should they have inadvertently overlooked any, they will make the necessary arrangements. Although great care has been taken in compiling the content of this publication, the publisher and its servants are not responsible or in any way liable for the currency of the information, for any errors, omissions or inaccuracies, or for any consequences arising there from. Please be informed that the contents of this material may be used only if compliant with local laws and regulations. This publication is not a peer-reviewed publication. All opinions expressed in this publication reflect those of the authors and not necessarily those of Springer Healthcare Italy. The possible use of the trade names has the mere purpose of identifying the products and does not imply any suggestion of use. Each product must be used in accordance with the instructions for use (IFU) and/or summary of product characteristics (SPC) supplied by the relative manufacturing company.

ISBN 978 88 6756 156 8

Editor 
Massimo Donnini
A. Menarini Diagnostics, Via lungo l’Ema, 7 - Grassina (FI), Italy

Contributors
Issue #2

Filippo Nencini
Visia Imaging, Via Martiri della Libertà 95/e - San Giovanni Valdarno (AR), Italy
Patrick Stordeur, Julie Smet
Immunobiology Clinic, Hôpital Erasme, Université Libre de Bruxelles (U.L.B.) - Brussels, Belgium

Aims & Scope

Autoimmunity Close Up is the new A. Menarini Diagnostics publication in the field of autoimmunity. The magazine establishes an interdisciplinary forum connecting experts involved in all aspects of the complex world of autoimmunity diagnosis. Autoimmunity Close Up provides our customers and colleagues with important product information and updates, insights into issues of general interest in autoimmunity and the latest findings in autoimmune diseases. The magazine encompasses a wide range of topics including connective tissue diseases, rheumatoid arthritis, antiphospholipid syndrome,celiac disease, IBD, vasculitis, autoimmune thyroid and liver diseases, as well as POCT, ITC & health economics. Each issue features reviews, editorials, and interviews with leading scientists who actively participate in building the content. If you have any questions or require further information about Autoimmunity Close Up, please contact your local A. Menarini Diagnostics Affiliate or Distributor.

Publisher
Springer Healthcare Italy
Via PC Decembrio, 28
20137 Milan (Italy)
www.springerhealthcare.it

Editorial Staff
Norberto Maderna
Elena Bernacchi
Massimo Chiesa
Sara di Nunzio
Claudio Oliveri

Project Manager
Annalisa Pietrasanta

© 2015 Springer Healthcare Italia Srl

Printed in June by Lazzati Industria Grafica Srl (Casorate Sempione – Varese - Italy)
Publication not for resale. Intended for specialists only. Registered in Milan – Registration n. 313 - 1/10/2014
All rights are reserved throughout the world and in all languages. No part of this publication may be reproduced, transmitted or stored in any form or by any means either mechanical or electronic, including photocopying, recording, or through an information storage and retrieval system, without the written permission of the copyright holder. The publisher has made every effort to trace the copyright holders for the material used within. Should they have inadvertently overlooked any, they will make the necessary arrangements. Although great care has been taken in compiling the content of this publication, the publisher and its servants are not responsible or in any way liable for the currency of the information, for any errors, omissions or inaccuracies, or for any consequences arising there from.
Please be informed that the contents of this material may be used only if compliant with local laws and regulations.
This publication is not a peer-reviewed publication. All opinions expressed in this publication reflect those of the authors and not necessarily those of Springer
Healthcare Italy. The possible use of the trade names has the mere purpose of identifying the products and does not imply any suggestion of use. Each product must be used in accordance with the instructions for use (IFU) and/or summary of product characteristics (SPC) supplied by the relative manufacturing company.

ISBN 978 88 6756 258 5

Editor 
Massimo Donnini
A. Menarini Diagnostics, Via lungo l’Ema, 7 - Grassina (FI), Italy

Contributors

Elena Lionetti
Department of Pediatrics, University of Catania, Via S. Sofia 78, 95124 - Catania, Italy

Luigi Farina
Clinical Division, Technogenetics Srl, via della Filanda 26, 26900 - Lodi, Italy

Carlo Catassi
Department of Pediatrics, Università Politecnica delle Marche, Ancona, Via Corridoni 11, 60123 - Ancona, ItalyThe Division of Pediatric Gastroenterology and Nutrition and Center for Celiac Research, MassGeneral Hospital for Children55 Fruit Street - Boston, MA 02114, USA

Aims & Scope

Autoimmunity Close Up is the new A. Menarini Diagnostics publication in the field of autoimmunity. The magazine establishes an interdisciplinary forum connecting experts involved in all aspects of the complex world of autoimmunity diagnosis. Autoimmunity Close Up provides our customers and colleagues with important product information and updates, insights into issues of general interest in autoimmunity and the latest findings in autoimmune diseases.
The magazine encompasses a wide range of topics including connective tissue diseases, rheumatoid arthritis, antiphospholipid syndrome, celiac disease, IBD, vasculitis, autoimmune thyroid and liver diseases, as well as POCT, ITC & health economics. Each issue features reviews, editorials, and interviews with leading scientists who actively participate in building the content. If you have any questions or require further information about Autoimmunity Close Up, please contact your local A. Menarini Diagnostics

Publisher

Springer Healthcare Italy
Via PC Decembrio, 28
20137 Milan (Italy)
www.springerhealthcare.it

Editorial Staff

Norberto Maderna
Elena Bernacchi
Maddalena Castelli
Massimo Chiesa
Claudio Oliveri

Project Manager
Annalisa Pietrasanta

© 2015 Springer Healthcare Italia Srl

Printed in December by Lazzati Industria Grafica Srl (Casorate Sempione – Varese - Italy)
Publication not for resale. Intended for specialists only. Registered in Milan – Registration n. 313 - 1/10/2014
All rights are reserved throughout the world and in all languages. No part of this publication may be reproduced, transmitted or stored in any form or by any means either mechanical or electronic, including photocopying, recording, or through an information storage and retrieval system, without the written permission of the copyright holder. The publisher has made every effort to trace the copyright holders for the material used within. Should they have inadvertently overlooked any, they will make the necessary arrangements. Although great care has been taken in compiling the content of this publication, the publisher and its servants are not responsible or in any way liable for the currency of the information, for any errors, omissions or inaccuracies, or for any consequences arising there from.
Please be informed that the contents of this material may be used only if compliant with local laws and regulations.
This publication is not a peer-reviewed publication. All opinions expressed in this publication reflect those of the authors and not necessarily those of Springer
Healthcare Italy. The possible use of the trade names has the mere purpose of identifying the products and does not imply any suggestion of use. Each product must be used in accordance with the instructions for use (IFU) and/or summary of product characteristics (SPC) supplied by the relative manufacturing company.

ISBN 978 88 6756 269 5

Editor

Massimo Donnini

A. Menarini Diagnostics, Via lungo l’Ema, 7 - Grassina (FI), Italy

Contributors

Kishore Malyavantham
Immco Diagnostics, 60 Pineview Dr - Bu­ alo, NY, USA

Lakshmanan Suresh
Immco Diagnostics, 640 Ellicott Street - Bu­ alo, NY, USA

Daria Picchioni
VISIA imaging S.r.l., Via Martiri della Libertà, 95/E - San Giovanni Valdarno (AR), Italy

Aims & Scope

Autoimmunity Close Up is the new A. Menarini Diagnostics publication in the ‑ eld of autoimmunity. The magazine establishes an interdisciplinary forum connecting experts involved in all aspects of the complex world of autoimmunity diagnosis. Autoimmunity Close Up provides our customers and colleagues with important product information and updates, insights into issues of general interest in autoimmunity and the latest ‑findings in autoimmune diseases. The magazine encompasses a wide range of topics including connective tissue diseases, rheumatoid arthritis, antiphospholipid syndrome, celiac disease, IBD, vasculitis, autoimmune thyroid and liver diseases, as well as POCT, ITC & health economics. Each issue features reviews, editorials, and interviews with leading scientists who actively participate in building the content. If you have any questions or require further information about Autoimmunity Close Up, please contact your local A. Menarini Diagnostics Affiliate or Distributor.

Publisher

Springer Healthcare Italy

Via PC Decembrio, 28

20137 Milan (Italy)

www.springerhealthcare.it

Editorial Staff

Norberto Maderna

Elena Bernacchi

Maddalena Castelli

Massimo Chiesa

Claudio Oliveri

Project Manager

Annalisa Pietrasanta

© 2016 Springer Healthcare Italia Srl

Printed in March by Lazzati Industria Grafica Srl (Casorate Sempione - Varese - Italy)

Publication not for resale. Intended for specialists only. Registered in Milan - Registration n. 313 - 1/10/2014

All rights are reserved throughout the world and in all languages. No part of this publication may be reproduced, transmitted or stored in any form or by any means either mechanical or electronic, including photocopying, recording, or through an information storage and retrieval system, without the written permission of the copyright holder. The publisher has made every e­ ort to trace the copyright holders for the material used within. Should they have inadvertently overlooked any, they will make the necessary arrangements. Although great care has been taken in compiling the content of this publication, the publisher and its servants are not responsible or in any way liable for the currency of the information, for any errors, omissions or inaccuracies, or for any consequences arising there from. Please be informed that the contents of this material may be used only if compliant with local laws and regulations. This publication is not a peer-reviewed publication. All opinions expressed in this publication re ect those of the authors and not necessarily those of Springer Healthcare Italy. The possible use of the trade names has the mere purpose of identifying the products and does not imply any suggestion of use. Each product must be used in accordance with the instructions for use (IFU) and/or summary of product characteristics (SPC) supplied by the relative manufacturing company.

ISBN 978 88 6756 242 8


Editor 
Massimo Donnini
A. Menarini Diagnostics, Via lungo l’Ema, 7 - Grassina (FI), Italy

Contributors
Daria Franceschi
A. Menarini Diagnostics, Via lungo l’Ema, 7 - Grassina (FI), Italy

Keith Rawson
Cambridge Life Sciences Limited, 14 St. Thomas' Place, Cambridgeshire Business Park - Ely, Cambs, United Kingdom

Aims & Scope

Autoimmunity Close Up is the new A. Menarini Diagnostics publication in the ‑ eld of autoimmunity. The magazine establishes an interdisciplinary forum connecting experts involved in all aspects of the complex world of autoimmunity diagnosis. Autoimmunity Close Up provides our customers and colleagues with important product information and updates, insights into issues of general interest in autoimmunity and the latest ‑findings in autoimmune diseases. The magazine encompasses a wide range of topics including connective tissue diseases, rheumatoid arthritis, antiphospholipid syndrome, celiac disease, IBD, vasculitis, autoimmune thyroid and liver diseases, as well as POCT, ITC & health economics. Each issue features reviews, editorials, and interviews with leading scientists who actively participate in building the content. If you have any questions or require further information about Autoimmunity Close Up, please contact your local A. Menarini Diagnostics Affiliate or Distributor.

Publisher
Springer Healthcare Italy

Via PC Decembrio, 28

20137 Milan (Italy)

www.springerhealthcare.it

Editorial Staff
Norberto Maderna

Elena Bernacchi

Maddalena Castelli

Massimo Chiesa

Claudio Oliveri

Project Manager
Annalisa Pietrasanta

© 2014 Springer Healthcare Italia Srl

Printed in March by Lazzati Industria Grafica Srl (Casorate Sempione - Varese - Italy)

Publication not for resale. Intended for specialists only. Registered in Milan - Registration n. 313 - 1/10/2014

All rights are reserved throughout the world and in all languages. No part of this publication may be reproduced, transmitted or stored in any form or by any means either mechanical or electronic, including photocopying, recording, or through an information storage and retrieval system, without the written permission of the copyright holder. The publisher has made every e­ ort to trace the copyright holders for the material used within. Should they have inadvertently overlooked any, they will make the necessary arrangements. Although great care has been taken in compiling the content of this publication, the publisher and its servants are not responsible or in any way liable for the currency of the information, for any errors, omissions or inaccuracies, or for any consequences arising there from. Please be informed that the contents of this material may be used only if compliant with local laws and regulations. This publication is not a peer-reviewed publication. All opinions expressed in this publication re ect those of the authors and not necessarily those of Springer Healthcare Italy. The possible use of the trade names has the mere purpose of identifying the products and does not imply any suggestion of use. Each product must be used in accordance with the instructions for use (IFU) and/or summary of product characteristics (SPC) supplied by the relative manufacturing company.

ISBN 978 88 6756 314 2


Editor 
Massimo Donnini
A. Menarini Diagnostics, Via lungo l’Ema, 7 - Grassina (FI), Italy

Contributors
Daria Picchioni, Filippo Nencini
Visia Imaging, Via Martiri della libertà 95/e - San Giovanni Valdarno (AR), Italy

Daria Franceschi
A. Menarini Diagnostics, Via lungo l’Ema, 7 - Grassina (FI), Italy

Heidi De Baere
Menarini Benelux S.A./N.V. (Diagnostics), De Kleetlaan 3 - Diegem, Belgium

Aims & Scope

Autoimmunity Close Up is the new A. Menarini Diagnostics publication in the field of autoimmunity.

The magazine establishes an interdisciplinary forum connecting experts involved in all aspects of the complex world of autoimmunity diagnosis. Autoimmunity Close Up provides our customers and colleagues with important product information and updates, insights into issues of general interest in autoimmunity and the latest findings in autoimmune diseases.

The magazine encompasses a wide range of topics including connective tissue diseases, rheumatoid arthritis, antiphospholipid syndrome, celiac disease, IBD, vasculitis, autoimmune thyroid and liver diseases, as well as POCT, ITC & health economics.

Each issue features reviews, editorials, and interviews with leading scientists who actively participate in building the content.

If you have any questions or require further information about Autoimmunity Close Up, please contact your local A. Menarini Diagnostics Affiliate or Distributor.

Publisher
Springer Healthcare Italy

Via PC Decembrio, 28

20137 Milan (Italy)

www.springerhealthcare.it

Editorial Staff
Norberto Maderna

Elena Bernacchi

Maddalena Castelli

Massimo Chiesa

Claudio Oliveri

Project Manager
Mary Rusconi

© 2017 Springer Healthcare Italia Srl

Printed in May by Lazzati Industria Grafica Srl (Casorate Sempione - Varese - Italy)

Publication not for resale. Intended for specialists only. Registered in Milan - Registration n. 313 - 1/10/2014

All rights are reserved throughout the world and in all languages. No part of this publication may be reproduced, transmitted or stored in any form or by any means either mechanical or electronic, including photocopying, recording, or through an information storage and retrieval system, without the written permission of the copyright holder. The publisher has made every e­ ort to trace the copyright holders for the material used within. Should they have inadvertently overlooked any, they will make the necessary arrangements. Although great care has been taken in compiling the content of this publication, the publisher and its servants are not responsible or in any way liable for the currency of the information, for any errors, omissions or inaccuracies, or for any consequences arising there from. Please be informed that the contents of this material may be used only if compliant with local laws and regulations. This publication is not a peer-reviewed publication. All opinions expressed in this publication re ect those of the authors and not necessarily those of Springer Healthcare Italy. The possible use of the trade names has the mere purpose of identifying the products and does not imply any suggestion of use. Each product must be used in accordance with the instructions for use (IFU) and/or summary of product characteristics (SPC) supplied by the relative manufacturing company.

Editor 
Daria Franceschi
A. Menarini Diagnostics, Via lungo l’Ema, 7 - Grassina (FI), Italy

Contributors
Isabel Abreu
Nova Medical School/Faculdade de Ciências Médicas, Universidade Nova de Lisboa, Portugal

Martina Fabris
Laboratory of Autoimmunology, Institute of Clinical Pathology, University Hospital of Udine, Italy

Aims & Scope
Autoimmunity Close Up is the new A. Menarini Diagnostics publication in the field of autoimmunity.
The magazine establishes an interdisciplinary forum connecting experts involved in all aspects of the complex world of autoimmunity diagnosis. Autoimmunity Close Up provides our customers and colleagues with important product information and updates, insights into issues of general interest in autoimmunity and the latest findings in autoimmune diseases.
The magazine encompasses a wide range of topics including connective tissue diseases, rheumatoid arthritis, antiphospholipid syndrome, celiac disease, IBD, vasculitis, autoimmune thyroid and liver diseases, as well as POCT, ITC & health economics.
Each issue features reviews, editorials, and interviews with leading scientists who actively participate in building the content.
If you have any questions or require further information about Autoimmunity Close Up, please contact your local A. Menarini Diagnostics Affiliate or Distributor.

Publisher
Springer Healthcare Italy
Via PC Decembrio, 28
20137 Milan (Italy)
www.springerhealthcare.it

Editorial Staff
Norberto Maderna
Elena Bernacchi
Maddalena Castelli
Massimo Chiesa
Claudio Oliveri

Project Manager
Mary Rusconi
© 2017 Springer Healthcare Italia Srl
Printed in May by Lazzati Industria Grafica Srl (Casorate Sempione - Varese - Italy)
Publication not for resale. Intended for specialists only. Registered in Milan - Registration n. 313 - 1/10/2014

All rights are reserved throughout the world and in all languages. No part of this publication may be reproduced, transmitted or stored in any form or by any means either mechanical or electronic, including photocopying, recording, or through an information storage and retrieval system, without the written permission of the copyright holder. The publisher has made every e­ ort to trace the copyright holders for the material used within. Should they have inadvertently overlooked any, they will make the necessary arrangements. Although great care has been taken in compiling the content of this publication, the publisher and its servants are not responsible or in any way liable for the currency of the information, for any errors, omissions or inaccuracies, or for any consequences arising there from. Please be informed that the contents of this material may be used only if compliant with local laws and regulations. This publication is not a peer-reviewed publication. All opinions expressed in this publication re ect those of the authors and not necessarily those of Springer Healthcare Italy. The possible use of the trade names has the mere purpose of identifying the products and does not imply any suggestion of use. Each product must be used in accordance with the instructions for use (IFU) and/or summary of product characteristics (SPC) supplied by the relative manufacturing company.

ZENIT RA

“Evaluation of a new set of automated chemiluminescense assays for anticardiolipin and anti-beta2-glycoprotein I antibodies in the laboratory diagnosis of the antiphospholipid syndrome”

Persijn Lies, Decavele An-Sofie, Schouwers Sofie, Devreese Katrien

In Thrombosis Research


“DIAGNOSTIC ACCURACY OF THE ZENIT RA SYSTEM IN SYSTEMIC AUTOIMMUNE DISEASES”

T. Silvestri, A.G. Grondona, G. Sannino, G. Deleonardi

in Journal of Immunological Methods


“Detection of antiphospholipid antibodies by automated chemiluminescence assay”

Antonella Capozzi, Emanuela Lococo, Maria Grasso, Agostina Longo, Tina Garofalo, Roberta Misasi, Maurizio Sorice,

in Journal of Immunological Methods


“Anti-cardiolipin and anti-β2-glycoprotein I antibodies: normal reference ranges in northwestern Italy”

B Montaruli E De Luna1 G Mengozzi F Molinari E Napolitano P Napoli C Nicolo A Romito

S. Stella, M. Bazzan, MT. Bertero, R. Carignola, C. Marchese

in Lupus


“Routine use of Zenit RA, a novel chemiluminescent immunoanalyzer in autoimmune disease diagnosis”

P. Ghillani, L. Dufat, S. Himeur, M. Miyara, Z. Amoura, L. Musset

in Autoimmun Highlights (2012) 3:27–31 DOI 10.1007/s13317-012-0032-5


“Efficiency of a solid-phase chemiluminescence immunoassay for detection of antinuclear and cytoplasmic autoantibodies compared with gold standard immunoprecipitation”

Carmen Gelpí, corresponding author Elena Pérez, and Cristina Roldan

In Auto Immun Highlights. 2014 Sep; 5(2): 47–54. Published online 2014 Jul 18. doi: 10.1007/s13317-014-0059-


SW Abstracts – IFCC – Wordlab Euromedlab Berlin 2011 DOI 10.1515/CCLM2011.501 Clin Chem Lab Med 2011, Sepc. Suppl, pp S1 – S874 May 2011

“Diagnostic Accuracy of the New Zenit RA system for detection od Celiac Disease-related antibodies and Automated Application of a reflex Algorithm in IgA-Deficienct Celiac Patients”


ZENIT G SIGHT

Review Article

“Current Concepts and Future Directions for the Assessment of Autoantibodies to Cellular Antigens Referred to as Anti-Nuclear Antibodies”

Michael Mahler, Pier-Luigi Meroni, Xavier Bossuyt, and Marvin J. Fritzler

In Review Article

“Current Concepts and Future Directions for the Assessment of Autoantibodies to Cellular Antigens Referred to as Anti-Nuclear Antibodies”

Michael Mahler, Pier-Luigi Meroni, Xavier Bossuyt, and Marvin J. Fritzler

In Journal of Immunology Research Volume 2014, Article ID 315179


“Automation in indirect immunofluorescence testing: a new step in the evolution of the autoimmunology laboratory”

Renato Tozzoli, Antonio Antico, Brunetta Porcelli, Danila Bassetti

In Autoimmun Highlights (2012) 3:59–65 DOI 10.1007/s13317-012-0035-2


“Automated indirect immunofluorescence microscopy enables the implementation of a

quantitative internal quality control system for anti-nuclear antibody (ANA) analysis”

Thomas M. Maenhouta, Carolien Bonroy, Charlotte Verfailli, Veronique Stove and Katrien Devreese

in cclm-2013-0912 Clin Chem Lab Med 2014; aop DOI 10.1515


Review

“Automated antinuclear immunofluorescence antibody screening: A comparative study of six computer-aided diagnostic systems”

Nicola Bizzaro, Antonio Antico, Stefan Platzgummer, Elio Tonutti, Danila Bassetti, Fiorenza Pesente, Renato Tozzoli, Marilina Tampoia, Danilo Villalta, Study Group on Autoimmune Diseases of the Italian Society of Laboratory Medicine, Italy

In Autoimmunity Reviews (2013)


“Detection of antinuclear antibodies by automated indirect immunofluorescence analysis”

Xavier Bossuyt, Sarah Cooreman, Heidi De Baere, Patrick Verschueren, René Westhovens, Daniel Blockmans, Godelieve Mariën

In Clinica Chimica Acta (2012)

In Autoimmunity Reviews (2013)


“Celiac Disease Screening Assays for Children Younger than 3 Years of Age: The Performance of Three Serological Tests”

Hojsak I et al..

In Digestive Diseases and Sciences Dig Dis Sci (2012) 57:127–132

ZENIT REAGENTS

“The Use and Abuse of Commercial Kits used to Detect Autoantibodies”

Fritzler et al.

in Arthritis Research and Therapy 2003, 5:192-201 (DOI 10.1186/ar782)